3-On-6™ uses 6 implants per arch — preserving your natural gums and bone while giving you a smile that looks, feels, and cleans like real teeth. No pink porcelain. No bone removal.
3-On-6™ vs All-on-4
Learn why more patients are choosing 3-On-6™ over traditional All-on-4
Have questions after watching? Call us — 03 6200 8800
All-on-4 was a breakthrough — but it comes with trade-offs that most patients only discover after treatment.
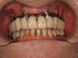
All-on-4 requires cutting away healthy bone to make room for pink porcelain. Once removed, this bone never grows back — affecting your facial structure over time.
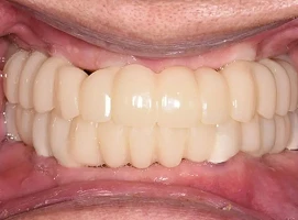
Pink porcelain is used to mimic gum tissue, but the result can appear obviously artificial — especially visible with a high smile line.
Food and bacteria get trapped under the bridge, creating a breeding ground for implantitis — a serious infection that can cause implant failure.
3-On-6™ was designed to solve every limitation of All-on-4 — without compromise.
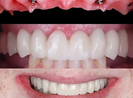
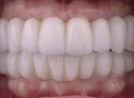
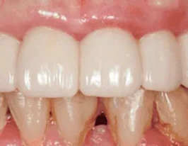
Your own gums provide the aesthetic — no pink porcelain needed. The result is a smile that's indistinguishable from natural teeth.
We preserve your natural bone structure. No unnecessary removal means your jawline and facial structure are protected for decades.
Functions and cleans just like natural teeth. Brush, floss, and maintain your implants with minimal effort and maximum effectiveness.
Speak directly with our team — no obligation, no pressure. We'll answer every question.
Call 03 6200 8800Free consultation — normally $150
| Feature | Full Denture | Implant-Retained | All-on-4 (FB3) | 3-On-6™ (FB1/FB2) |
|---|---|---|---|---|
| Investment | $1,800 /arch | $10,000 /arch | $28,000 /arch | $28,000 /arch (Zirconia included) |
| Natural Gums & Bone | Full gum coverage, artificial tissue | Some gum retained, slight bone loss | Requires bone removal for pink porcelain | No bone removal, natural gums retained |
| Aesthetic Result | Artificial gum & teeth | Improved with implants | Pink porcelain mimics gums | Completely natural — no pink porcelain |
| Bone Preservation | Bone loss over time | Gradual bone loss | Bone reduction required | Maintains natural bone structure |
| Cleaning & Hygiene | Requires removal | Needs removal | Difficult, implantitis risk | Easy — cleans like natural teeth |
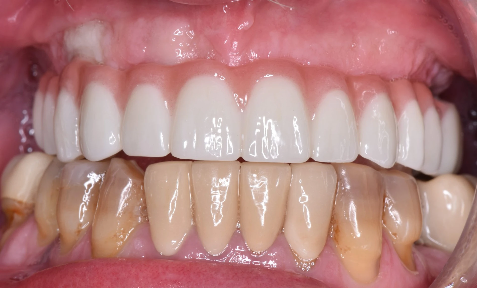
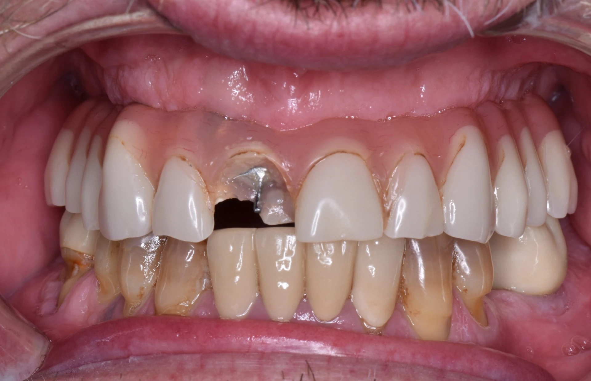
See the difference in actual patient treatments






Six implants provide significantly more anchoring than four, staying secure during eating and speaking.
Load distribution across six points dramatically reduces the risk of individual implant failure.
Advanced imaging and surgical guides ensure optimal positioning of every implant.
If one implant ever needs attention, five others maintain full stability — impossible with only four.
More implants mean better support for natural chewing — enjoy all your favourite foods again.
Superior bone preservation and fewer complications mean your investment performs better over decades.
We believe finances shouldn't stand between you and the smile you deserve.
You may be eligible to access your superannuation early for essential dental treatment. We'll guide you through the application process.
Ask us how when you call.
Through our partnership with National Dental Plan, you can break costs into manageable, interest-free weekly payments.
Learn more about NDP →Book your free consultation with Dr Clark Eom and find out if 3-On-6™ is right for you. No obligation, no pressure — just honest answers.
Call 03 6200 8800Free consultation — normally $150